Adult Teeth straightened
歯ぐきが下がって
昔より噛みにくい
将来、入れ歯や
見た目だけの矯正にはこうした不安にお答えして
いるのが、
くろさき歯科の
「大人のための歯列矯正」です。
矯正治療というと、「歯並びをきれいにする治療」というイメージが強いかもしれません。しかし、年齢を重ねたお口の中には、
といった、これまでの経過があります。
くろさき歯科では、歯並び・歯周病・噛み合わせ切り離さずに考える矯正治療を行っています。
若い方と同じ考え方で矯正を進めてしまうと、
といった問題が、治療後に表面化することがあります。
そのため大人の矯正では、「歯を動かすこと」そのものよりも、
動かしてよい状態かどうかの見極めが重要になります。
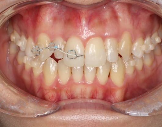
マウスピース矯正を行い、1年3月目から一部ワイヤーを併用するハイブリッド矯正(いいとこどり矯正)を実施
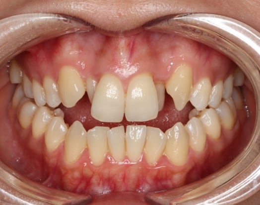
治療前
治療中
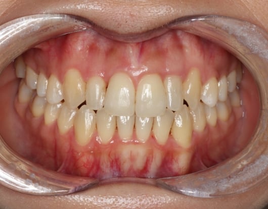
治療後
くろさき歯科の強み①
くろさき歯科では、矯正治療の前に、
といった点を重視して診断します。
必要に応じて、矯正よりも先に歯周病治療を優先する判断を行うこともあります。「とりあえず始める矯正」ではなく、将来を見据えた矯正治療を大切にしています。
くろさき歯科の強み②
くろさき歯科では、補綴(被せ物・入れ歯・噛み合わせ)を専門とする歯科医師が矯正治療の計画に関わります。これにより、
までを考慮した矯正治療が可能になります。
「今きれい」だけでなく、「将来も噛める歯並び」これが、くろさき歯科の考える機能美を重視した矯正治療です。
※あくまで治療方針の違いを示したもので、
優劣を示すものではありません。
すべての方に、矯正治療をおすすめするわけではありません。
矯正を行わない判断も、治療の一部だと考えています。
くろさき歯科では「矯正をするかどうか」を
決めるためだけの相談ではなく、
あなたのお口にとって、
どの選択肢が適しているかを一緒に考えます。
矯正
補綴治療
入れ歯
インプラント
口全体を診たうえで、
無理のない治療計画をご提案します。
Contact
お口の健康に関するお悩みや疑問を、ご相談ください。
くろさき歯科の専門家が親身になってお話を伺い、一人ひとりに最適な治療方法をご提案いたします。
お気軽にご予約ください。