無料相談受付中 050-7586-5084
TOP まずは無料相談にお申し込みください 電話予約 24時間受付WEB予約 予約の変更 その他お問い合わせ

入れ歯症例紹介

Denture Cases

当院で行った入れ歯治療の
一例をご紹介します。
歯でお顔の印象は変わります。

※掲載している写真は、治療の流れを説明する目的で使用しており、治療効果を保証するものではありません。治療結果には個人差があります。

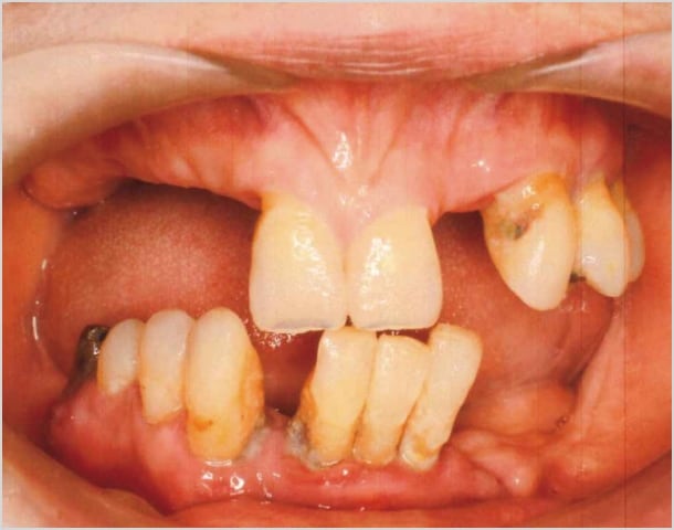
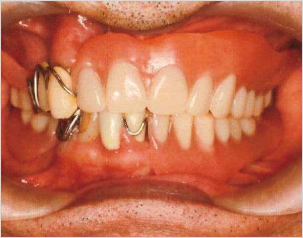
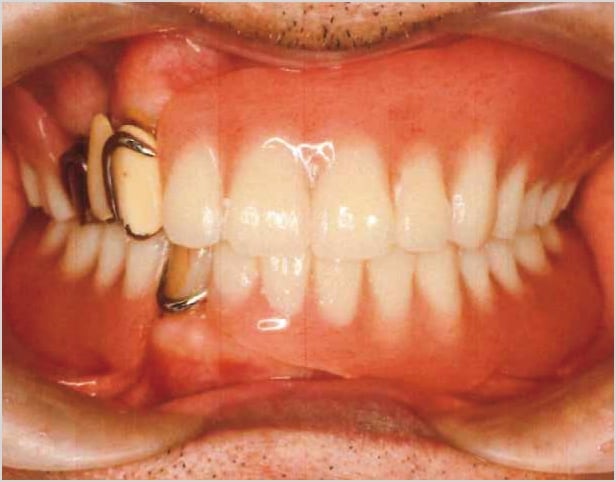
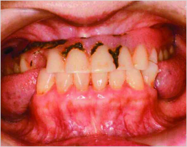
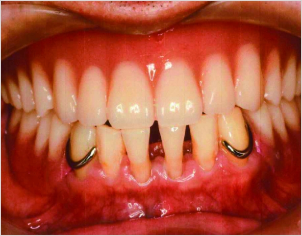
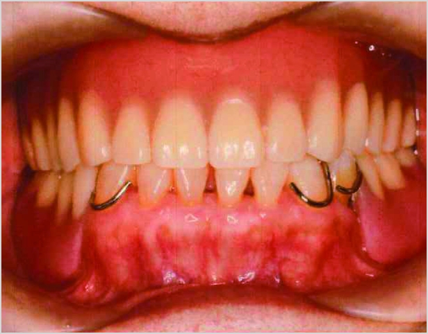
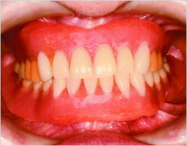
  • 【症例16】40代男性

    【症例16】40代男性治療前 【症例16】40代男性治療後
    来院時のお悩み
    食事に支障が出てきて、食べられないものが増えた
    治療内容と費用はこちら
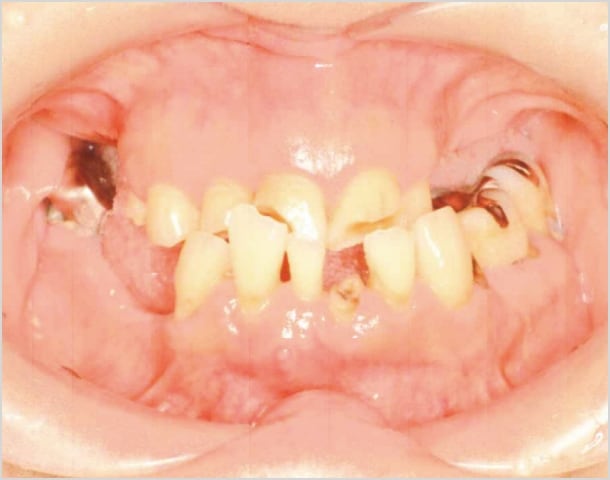
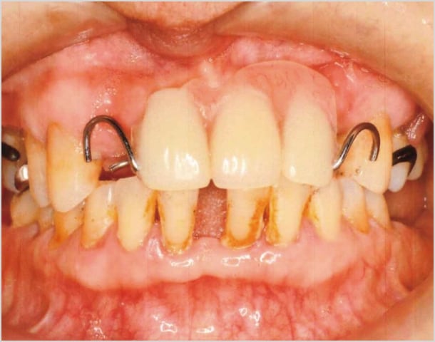
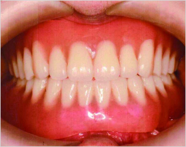
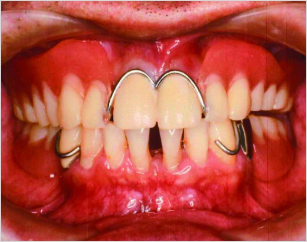
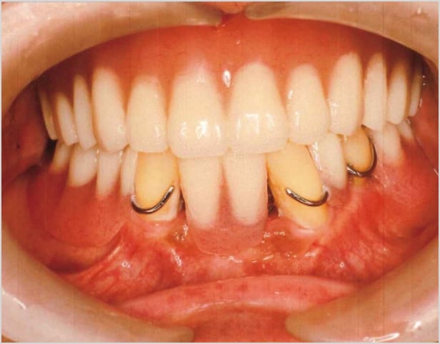
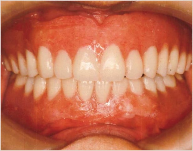
  • 【症例15】50代男性

    【症例15】50代男性治療前 【症例15】50代男性治療後
    来院時のお悩み
    現在使っている入れ歯が、歯が抜けたため使えなくなった。残っている歯もぐらつくので、全体を治療したい
    治療内容と費用はこちら
  • 【症例14】60代女性

    【症例14】60代女性治療前 【症例14】60代女性治療後
    来院時のお悩み
    上下の入れ歯がすぐに外れるので、話しにくく、食事もできない。見た目も歯が短くて、悲しい思いをしている。
    治療内容と費用はこちら
  • 【症例13】50代男性

    【症例13】50代男性治療前 【症例13】50代男性治療後
    来院時のお悩み
    見栄えが悪く、かみ合わせに違和感がある
    治療内容と費用はこちら
  • 【症例12】60代女性

    【症例12】60代女性治療前 【症例12】60代女性治療後
    来院時のお悩み
    他院で入れ歯を作ったが、カ行、タ行が話しにくい
    治療内容と費用はこちら
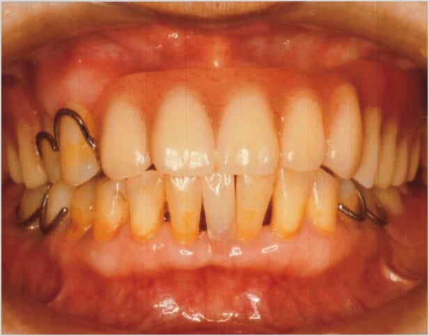
  • 【症例11】60代女性

    【症例11】60代女性治療前 【症例11】60代女性治療後
    来院時のお悩み
    使用中の入れ歯が合わない、落ちやすく、付けていると痛い
    治療内容と費用はこちら
  • 【症例10】70代女性

    【症例10】70代女性治療前 【症例10】70代女性治療後
    来院時のお悩み
    口元の見た目を改善したいとのこと
    治療内容と費用はこちら
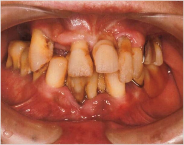
  • 【症例9】70代男性

    【症例9】70代男性治療前 【症例9】70代男性治療後
    来院時のお悩み
    上の義歯は外れやすいため噛みにくい。食べ物を飲み込んでむせてしまう。下の義歯は外しにくくなり、8年間使用していない。前歯を中心に噛んでいたら、口が曲がってきた気がする。
    治療内容と費用はこちら
  • 【症例8】60代女性

    【症例8】60代女性治療前 【症例8】60代女性治療後
    来院時のお悩み
    保険適用の総入れ歯が合わず、下顎が前に出がちになる
    治療内容と費用はこちら
  • 【症例7】50代男性

    【症例7】50代男性治療前 【症例7】50代男性治療後
    来院時のお悩み
    かみ合わせがしっくりこない。保険適用の入れ歯がぴったりでないので作り直したい
    治療内容と費用はこちら
  • 【症例6】70代女性

    【症例6】70代女性治療前 【症例6】70代女性治療後
    来院時のお悩み
    話中に下の歯が見えて変なので、新しい入れ歯を作成したい。笑った時に下の歯しか見えないことに違和感がある。食事はできている
    治療内容と費用はこちら
  • 【症例5】70代女性

    【症例5】70代女性治療前 【症例5】70代女性治療後
    来院時のお悩み
    3年ほど前から歯が抜け始め、直近半年でさらに抜けたので食事が困難な状態でした。お孫さんに歯がないと言われたことをきっかけにご来院いただきました。
    治療内容と費用はこちら
  • 【症例4】50代女性

    【症例4】50代女性治療前 【症例4】50代女性治療後
    来院時のお悩み
    他院で入れ歯を作ったが未使用。見た目も満足できず、食事にも困っていた。
    治療内容と費用はこちら
  • 【症例3】70代女性

    【症例3】70代女性治療前 【症例3】70代女性治療後
    来院時のお悩み
    自分に合った入れ歯を作りたい。できるだけ自分の歯は残したい
    治療内容と費用はこちら
  • 【症例2】50代男性

    【症例2】50代男性治療前 【症例2】50代男性治療後
    来院時のお悩み
    歯がグラグラして食事ができない
    治療内容と費用はこちら
  • 【症例1】70歳男性

    【症例1】70歳男性治療前 【症例1】70歳男性治療後
    来院時のお悩み
    かみ合わせが合わない、大好きな麺類が食べたい、話しにくい
    治療内容と費用はこちら

Contact

お口の無料相談受付中

お口の健康に関するお悩みや疑問を、ご相談ください。
くろさき歯科の専門家が親身になってお話を伺い、一人ひとりに最適な治療方法をご提案いたします。
お気軽にご予約ください。

無料相談はこちら