2025/12/14
矯正治療
歯並びを整えるために「矯正を始めたいけれど、できれば歯は抜きたくない」と考える方は少なくありません。
近年は「非抜歯矯正(歯を抜かずに行う矯正)」を希望される患者さんが増えており、浦和エリアでもそのニーズは高まっています。
しかし、非抜歯矯正にはメリットだけでなく注意点やデメリットもあります。
この記事では、非抜歯矯正の特徴・メリット・デメリットを補綴(ほてつ)専門医の視点からわかりやすく解説 し、浦和で矯正を検討される方に役立つ情報をまとめました。
黒崎 俊一(くろさき しゅんいち)
くろさき歯科 院長/日本歯科専門医機構 補綴歯科専門医

大学卒業後、補綴学(ほてつがく:歯を失った部分を補う治療分野)を専門に研鑽を積み、日本歯科専門医機構 補綴歯科専門医資格を取得。これまでに総義歯・部分義歯など数千症例を担当。
とくに「入れ歯治療」においては、マイクロスコープを用いた精密診断と2段階工程によるオーダーメイド入れ歯を導入し、患者一人ひとりに合わせた快適な咬合(噛み合わせ)を実現している。
「入れ歯は妥協ではなく、人生を取り戻す治療」をモットーに、見た目の自然さ・噛みやすさ・発音のしやすさまで総合的にサポート。地域の高齢者から「何でも噛めるようになった」「人前で笑えるようになった」との声が寄せられている。
矯正治療には大きく分けて「抜歯矯正」と「非抜歯矯正」があります。
「歯を抜かない=体に優しい」と思われがちですが、実際には症例によって適応が異なり、全ての方が非抜歯で矯正できるわけではないと考えています。ですから、非抜歯矯正が得意だと言われている歯科医院でも、相談と検査をすることをおすすめします。
非抜歯矯正は、次のような条件が整っている場合に適応しやすいとされています。
つまり「抜歯が必要なケース」と「非抜歯で可能なケース」は、精密な診断で見極めることが大切です。
もう1点は、非抜歯矯正の症例数が多い歯科医師が担当することです。歯科矯正は、患者様の口腔内の状態を正確に診断できることと、診断に沿った治療が実現できる歯科医師が担当することで可能になります。


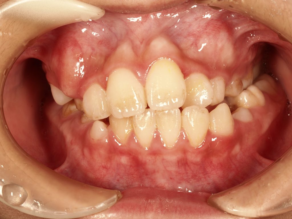
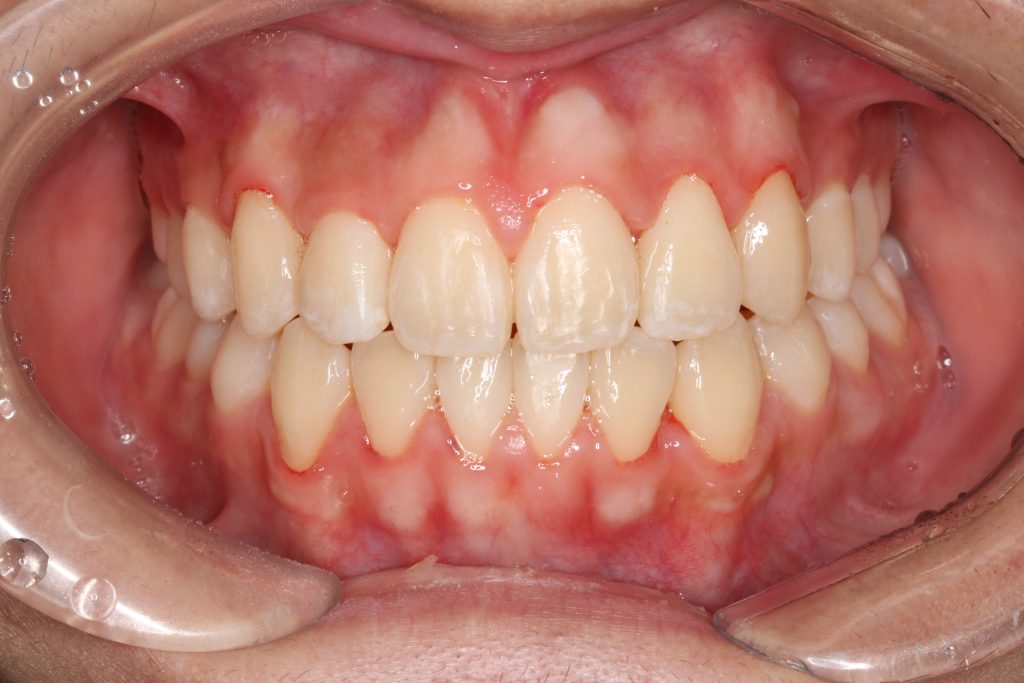
16歳 男性
治療期間:約2年3ヵ月
費用の目安:88万円(税込)
副作用・リスク:装置による痛み、虫歯・歯周病のリスク、歯根吸収、後戻り、生活習慣などによる治療の個人差
【ご注意事項】
症例写真は、治療結果の一例です。
※矯正治療には以下のような副作用やリスクが伴います。
・装置による痛み・違和感
・虫歯・歯周病のリスク
・歯根吸収や歯ぐきの退縮
・発音や咀嚼への一時的な影響
・治療後の後戻りの可能性
・治療中は一時的に 発音や咀嚼に影響 が出る場合があります。
・抜歯が必要になることがあり、その場合は別途治療リスクが生じます。
・顎の骨格や噛み合わせの状態によっては、 外科的処置が併用される場合 があります。
治療期間や効果には個人差があります。症例写真は一例であり、すべての方に同様の結果を保証するものではありません。詳しくはカウンセリング時にご説明いたします。
はい。できるだけ自然な状態に近づける治療方針です。非抜歯矯正には、複数のメリットがあります。
1. 健康な歯を残せる
最大のメリットは「歯を抜かなくて済む」という点です。将来的に自分の歯を残す本数が多いことは、口腔全体の健康維持にもつながります。
2. 治療の心理的ハードルが低い
「抜歯が怖い」「歯を失いたくない」と思う患者さんにとって、非抜歯矯正は精神的な負担が軽くなります。
3. 噛む力が維持できる
歯を抜かない分、咀嚼機能(噛む力)が保たれやすいといわれています。
4. 治療後の歯列が自然
歯を抜かずに並べるため、歯列全体のアーチが自然に広がり、健康的な口元に仕上がるケースもあります。
一方で、非抜歯矯正には注意すべき点もあります。
1. 無理に広げると後戻りしやすい
歯列を広げすぎると、矯正後に元の位置に戻ろうとする力が働き、後戻りのリスクが高まります。
2. 歯や歯ぐきに負担がかかる
スペース不足のまま無理に歯を並べると、歯の根が傾きすぎたり、歯ぐきが下がるリスクもあります。
3. 横顔のバランスが崩れることも
本来は抜歯で口元を下げた方が美しい横顔になる場合、非抜歯を選ぶと口元が前に出て「口ゴボ」と呼ばれる見た目になる可能性があります。
4. 適応外のケースがある
重度の叢生(ガタガタ)や骨格的な問題がある場合は、非抜歯矯正だけでは対応できないことがあります。
繰り返しになりますが、この点は検査と診断が重要になります。併せて、歯科医師の技術力にも差がありますので、セカンドオピニオン、サードオピニオンを受けるとよろしいかと思います。
くろさき歯科でも、初回は無料で相談を受け付けています。

1. 歯列拡大装置
顎を広げてスペースを作る方法。小児矯正で多く使われますが、成人にも適応できる場合があります。
2. 歯の遠心移動
奥歯を後ろに下げることで、前歯を並べるスペースを確保します。
3. 歯の側方移動
歯列全体を横に広げることで、非抜歯での矯正を可能にする方法です。
4. IPR(ストリッピング)
歯の表面をわずかに削ってスペースを作ります。非抜歯矯正を補助する手段としてよく用いられます。
これらの方法は、もともと ワイヤー矯正で発展してきた技術 であり、現在でも広く活用されています。近年ではマウスピース矯正(インビザラインなど)でもこれらの技術を応用できるようになり、非抜歯での治療選択肢がさらに広がっています。
条件によりますが、可能だと思います。
5. マウスピース矯正(インビザライン)による非抜歯アプローチ
マウスピース矯正、とくに インビザライン は、デジタルシミュレーションの精度が高く、歯の3次元的なコントロールが可能なため、非抜歯での矯正を実現しやすい治療法として注目されています。
インビザラインでは以下のような方法を組み合わせることで、抜歯を避けながら歯をきれいに並べることを目指すアプローチができます。
このように、インビザラインでは 「拡大」「遠心移動」「傾斜制御」「IPR」 を組み合わせて3次元的に歯を動かすため、非抜歯での矯正治療が可能となるケースが多くあります。
ただし、骨格的な問題が大きい場合や、重度のガタつきがある場合には抜歯が必要になることもあるため、やはり専門的な診断が重要です。
当院では、補綴専門医がかみ合わせの視点から矯正治療を行っていることが特徴だと思います。
患者さんの希望を尊重しつつ、無理のない治療計画を立てることを大切にしています。
くろさき歯科に関してお伝えすると、非抜歯矯正だからといって、費用や期間が大きく変わるわけではありません。
ただし、非抜歯矯正は、歯を抜かない分だけ歯の移動量が大きくなる場合があり、治療期間が延びることもあります。
治療である以上、100パーセントの保証はありません。非抜歯矯正には以下のようなリスクが伴うこともご理解いただくといいでしょう。
治療を始める前に、歯科医師から、これらのリスクをきちんと説明してもらえるかどうかが重要です。
情報は多くなるほど、歯科医院選びも難しくなると思います。浦和エリアにも多くの矯正歯科がありますが、非抜歯矯正を希望する際には、以下の点を確認すると安心感が高まると思います。
特に「抜かずにできますよ」と簡単に言い切る医院よりも、両方の可能性を比較して提案してくれる医院の方が信頼できると思います。
非抜歯矯正は「歯を抜きたくない」という希望を叶える方法ですが、全ての方に適応できるわけではありません。
浦和で矯正を検討する際には、精密な診断と長期的な安定性を考えた治療計画を提案してくれる歯科医院 を選ぶことが大切です。
くろさき歯科では、補綴専門医が患者さん一人ひとりに合わせた治療を行い、非抜歯矯正にも対応しています。
まずはお気軽に無料相談にお越しください。
Contact
お口の健康に関するお悩みや疑問を、ご相談ください。
くろさき歯科の専門家が親身になってお話を伺い、一人ひとりに最適な治療方法をご提案いたします。
お気軽にご予約ください。