無料相談受付中 050-7586-5084
TOP まずは無料相談にお申し込みください 電話予約 24時間受付WEB予約 予約の変更 その他お問い合わせ

口と人生のコラム

Column

2026/01/26

矯正治療

30代・40代・50代からの歯列矯正|年齢別に見るメリット・注意点とかみ合わせの重要性/さいたま市歯科医師監修

30代・40代・50代からの歯列矯正|年齢別に見るメリット・注意点とかみ合わせの重要性/さいたま市歯科医師監修

「歯列矯正は若い人がやるもの」
そう思って、気になりながらも一歩を踏み出せずにいませんか。

実際、30代・40代・50代で歯列矯正を検討される方は増加傾向です(くろさき歯科への来院傾向より)。くろさき歯科では、大人の矯正は見た目を整えるだけの治療ではないと考えています。特に30代以降では、「歯並び」以上にかみ合わせ歯の寿命が将来を左右します。

結論から言えば、年齢によって注意点は異なるものの、適切な診断と治療設計があれば何歳からでも歯列矯正は可能です。
本記事では、30代・40代・50代それぞれの年代別に、歯列矯正のメリットと注意点、そして大人の矯正で最も重要な「かみ合わせ」について、補綴の専門医が矯正について大切なことを解説します。

【監修者】黒崎俊一先生

経歴

  • 平成4年3月日本大学大学院 補綴専攻 卒業
  • 平成8年11月~医療法人社団 アーユス くろさき歯科
  • 歯学博士

所属団体

  • 日本補綴学会認定専門医
  • 日本歯科審美学会
  • 日本矯正学会
  • 日本大学歯学部兼任講師
  • さいたま市歯科医師会
  • さいたま市南浦和小学校学校医

大人の歯列矯正は何歳までできる?

― 最初に歯列矯正と年齢について教えてください。

歯列矯正に明確な年齢制限はありません。
「骨が固くなるから大人は不利」と思われがちですが、骨の成熟そのものが矯正の可否を決めるわけではないのです。

判断のポイントは年齢ではなく「口腔内の状態」です。

大人の矯正で重要になるのは、以下の点です。

  • 歯周病の有無・進行度
  • 歯の欠損の有無
  • 被せ物・ブリッジ・インプラントの有無
  • かみ合わせや顎関節への負担

若年層の矯正は「歯を動かすこと」自体が主目的になりやすい一方、大人の矯正では歯を守り、長く使うための治療設計が求められます。
この点が、若い頃の矯正との本質的な違いです。

30代の歯列矯正|見た目+将来への予防

― 30代の歯列矯正について教えてください。

30代の歯列矯正についてメリットと注意点をお話ししますね。

30代で矯正を始めるメリット

30代は、大人の歯列矯正において非常にバランスの取れた年代です。

  • 歯・骨の状態が比較的良好
  • 歯周病のリスクがまだ低い
  • マウスピース矯正の適応範囲が広い
  • 将来的な被せ物・インプラントを回避しやすい

この年代で矯正を行う最大の価値は、見た目の改善と同時に将来の歯科治療を減らせる可能性が高い点にあります。

30代で注意すべきポイン

一方で注意したいのは、「見た目優先」の判断です。

  • 前歯だけを並べて奥歯のかみ合わせを無視する
  • 短期間・低価格だけを重視する

こうした矯正は、数年後に後戻りや歯の破折、顎の不調を招くことがあります。
また、矯正後の保定(後戻り防止)を軽視しないことも、30代では特に重要です。

40代の歯列矯正|かみ合わせと歯の寿命がテーマ

― 40代の歯列矯正はいかがですか?

40代になると、少し考え方が違ってきます。

40代で矯正を検討される方の多くは、以下のようなきっかけをお持ちです。

  • 仕事や生活が落ち着き、治療に時間をかけられる
  • 経済的な余裕が出てきた
  • 被せ物のやり替えや歯のトラブルを経験した

つまり、「見た目」よりも「これ以上歯を失いたくない」という動機が強くなります。

40代の矯正では、以下のチェックが不可欠です。

  • 歯周病の有無とコントロール状況
  • 既存の被せ物・ブリッジとの関係
  • 顎関節や咬合力への影響

この年代では、
「歯並び」<「かみ合わせ設計」
という考え方が非常に重要になります。
適切なかみ合わせを考慮しない矯正は、歯の寿命を縮めてしまうリスクがあります。

50代の歯列矯正|治す矯正から守る矯正へ

― 50代でも歯列矯正は可能ですか?

結論として、50代でも歯列矯正は可能です。ただし、精密な診断が前提条件となります。

  • 歯周病がコントロールされているか
  • 残っている歯をどう守るか
  • 無理な歯の移動にならないか

場合によっては、全体矯正ではなく部分矯正を選択することも有効です。

50代矯正の目的は「見た目」より「機能」だと考えています。

50代の矯正は、以下の目的を持つことが多くなります。

  • かみ合わせを整え、負担を分散する
  • 将来の入れ歯・インプラントの土台を整える
  • 残っている歯をできるだけ長持ちさせる

いわば、「治す矯正」から「守る矯正」への転換が、この年代の特徴です。

マウスピース矯正は30代・40代・50代に向いている?

― マウスピース矯正について、もう少し詳しく教えてください。

近年、マウスピース矯正は急速に普及し、「大人の矯正=マウスピース」というイメージを持たれる方も増えています。
確かに、透明で目立ちにくく、取り外しができる点は、仕事や日常生活を重視する30代・40代・50代の方にとって大きなメリットです。

ただし、マウスピース矯正は“誰にでも向いている万能な治療法”ではありません。

マウスピース矯正が向いているケース

以下の条件を満たす場合、マウスピース矯正は有効な選択肢となります。

  • 軽度〜中等度の歯列不正
    (大きなズレや複雑な噛み合わせ異常がない)
  • 歯周病が安定している、または適切に管理されている
  • 1日20時間以上の装着など、自己管理を継続できる
  • 矯正の目的が「見た目の改善」だけでなく、かみ合わせの安定も含まれている

特に30代では、歯や歯周組織の状態が比較的良好なケースが多く、マウスピース矯正の適応範囲は広くなります。

マウスピース矯正が向いていないケース

一方で、以下のような場合は注意が必要です。

  • 大きなかみ合わせのズレ(開咬・過蓋咬合・重度の反対咬合など)
  • 歯周病が進行しており、歯の動揺がある
  • 咬合力(噛む力)が非常に強い
  • 被せ物やブリッジが多く、歯の移動計画が複雑になるケース

特に40代・50代では、「歯をどう動かすか」よりも「歯にどんな力がかかるか」が重要になります。
無理なマウスピース矯正は、歯の寿命を縮める原因になりかねません。

年齢より重要なのは「設計力」

ここで最もお伝えしたいのは、

「マウスピースか、ワイヤーか」よりも
「誰が、どのように治療を設計しているか」

という点です。

同じマウスピース矯正でも、

  • かみ合わせを考慮して設計されているか
  • 矯正後の歯の負担まで想定されているか
  • 将来の被せ物・入れ歯・インプラントを見据えているか

これらによって、結果は大きく変わります。
年齢が高くなるほど、この治療設計力の差がそのまま予後の差になります。

歯周病の進行はワイヤー矯正でも同じではないのですか?

ご指摘のとおりです。しかし、歯周病で歯が揺れている状態では、マウスピース矯正は「力のコントロール」が難しく、歯を守れないリスクが高くなると考えています。

歯周病=「歯を支える骨が弱っている状態」

歯は骨に直接くっついているわけではなく、
歯槽骨(しそうこつ)と歯根膜というクッションのような組織で支えられています。

歯周病が進行すると、

  • 歯を支える骨が減る
  • 歯の支えが浅くなる
  • その結果、歯がグラグラ動く

という状態になります。

この時点で重要なのは、「歯を動かすこと」より「これ以上ダメージを与えないこと」です。

マウスピース矯正は「じわじわ一定の力」をかけ続ける治療

マウスピース矯正は、

  • 薄い装置で
  • 弱い力を
  • 長時間かけ続ける

という特徴があります。

健康な歯には有効ですが、支えが弱っている歯にとっては「逃げ場のない力」になることがあります。

その結果、

  • 歯が動くのではなく、さらに揺れる
  • 歯根膜に負担が集中する
  • 歯周病の進行を早める

といったリスクが生じます。

「外せる」ことが、逆に不利になる場合もある

マウスピースは取り外しができる反面、

  • 装着時間が足りない
  • 日によって装着時間にムラが出る
  • 無意識に外してしまう

といったことが起こりやすい治療法です。

歯周病がある方の場合、
力がかかったり、かからなかったりを繰り返すこと自体が、歯にとってストレスになります。

これは、

  • すでに不安定な歯を
  • さらに不安定な環境に置く

という状態になりかねません。

ワイヤー矯正との決定的な違い

ワイヤー矯正は、

  • 力の強さ・方向を細かく調整できる
  • 歯の揺れ具合を見ながら、その場でコントロールできる
  • 必要であれば「動かさない歯」を決められる

という特徴があります。

つまり、歯周病がある場合は「慎重に、必要最小限だけ動かす」制御がしやすいのです。

そのため、

  • 歯周病が進行している
  • 歯の動揺がある

こうしたケースでは、マウスピース矯正よりもワイヤー矯正、あるいは矯正自体を見送る判断が必要になることもあります。

くろさき歯科では、マウスピースとワイヤーを組み合わせた「いいとこどり矯正」も行っています。

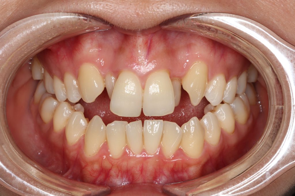
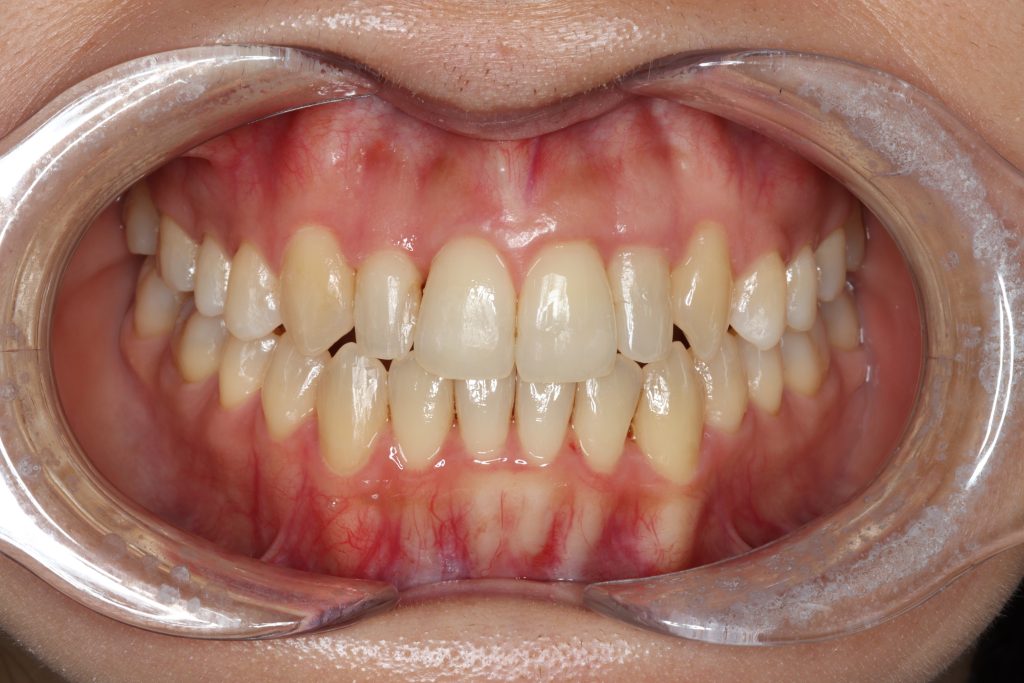
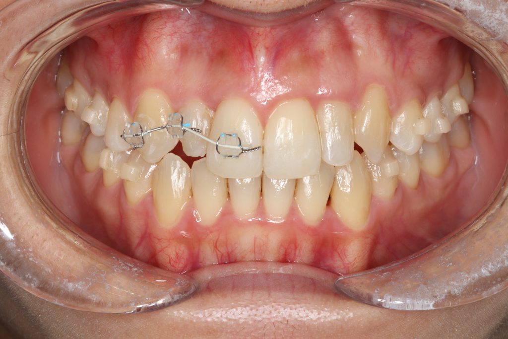
42歳 女性

マウスピース矯正を行い、1年3月目から一部ワイヤーを併用するハイブリッド矯正(いいとこどり矯正)を実施

治療前
治療中【マウスピースとワイヤーを併用】
治療後

治療期間: 約1年6カ月(1年3ヵ月からワイヤー装着)

費用の目安:99万円(税込)

副作用・リスク:装置による痛み、虫歯・歯周病のリスク、歯根吸収、後戻り、生活習慣などによる治療の個人差

大人の歯列矯正で後悔しないための3つのポイント

― 最後に、大人の歯列矯正で特に大切なポイントを整理してください。

30代・40代・50代の歯列矯正で「やってよかった」と感じる方と、「こんなはずではなかった」と後悔する方の差は、実はとても明確です。
以下の3つは、年代を問わず共通して重要なポイントです。

見た目だけで判断しない

大人の矯正で最も多い後悔は、
「歯並びはきれいになったのに、噛みにくい」
というケースです。

前歯が整っても、

  • 奥歯がしっかり噛んでいない
  • 特定の歯に負担が集中している
  • 顎が疲れる、違和感がある

このような状態では、矯正の本来の目的は達成されていません。

見た目の改善は大切ですが、噛めること・歯を守ることが前提であるべきです。

かみ合わせをきちんと診ているか

大人の歯列矯正では、
「歯が動くかどうか」よりも
「動かした結果、どう噛むのか」
が重要です。

  • 矯正後の噛み心地について説明があるか
  • 歯1本1本にかかる力を考慮しているか
  • 顎関節への影響をチェックしているか

これらをきちんと診ている歯科医院かどうかで、矯正後の満足度は大きく変わります。

特に40代・50代では、かみ合わせを軽視した矯正=歯の寿命を縮める治療になりかねません。

矯正後の人生まで考えているか

大人の矯正は、「ゴール」ではなく「通過点」です。

  • 将来、被せ物が必要になったらどうするのか
  • 入れ歯やインプラントが必要になった場合、矯正結果が活きるか
  • 矯正後、歯をどう守っていくのか

こうした長期的な視点を持っているかどうかが、医院選びの重要な基準になります。

30代では「将来の予防」、
40代では「これ以上失わないため」、
50代では「残っている歯を守るため」。

この視点が共有できる歯科医師と進める矯正こそが、後悔のない治療につながります。

30代・40代・50代の歯列矯正に関するよくある質問(FAQ)

Q:今さら矯正しても遅くない?
A:遅くはありません。重要なのは年齢ではなく、口腔内の状態と治療設計です。

Q:歯周病があっても矯正できますか?
A:コントロールできていれば可能なケースもありますが、精密診断が必須です。

Q:矯正後に歯は長持ちしますか?
A:正しいかみ合わせを獲得できれば、歯の寿命を延ばせる可能性があります。

まとめ

大人の歯列矯正は、「何歳か」ではなく「どう診断し、どう設計するか」で結果が決まります。
30代・40代・50代、それぞれに適した目的と方法があります。

将来の歯を守る選択として、まずは正確な診断と相談から始めることが、後悔しない第一歩です。

口と人生のコラム一覧へ

Contact

お口の無料相談受付中

お口の健康に関するお悩みや疑問を、ご相談ください。
くろさき歯科の専門家が親身になってお話を伺い、一人ひとりに最適な治療方法をご提案いたします。
お気軽にご予約ください。

無料相談はこちら